
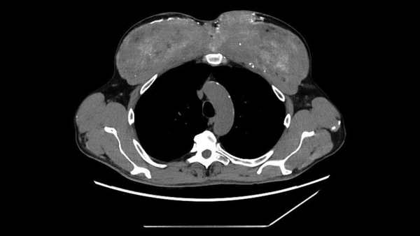
Комп'ютерна томографія грудної клітки чоловіка виявила кальцифіковані ділянки грудних м'язів, куди він раніше вводив олії для покращення м'язової маси. (Зображення надано: Markowska et al. BMC Nephrol 26, 476 (2025). (CC 4.0))
Пацієнт: 60-річний чоловік у Варшаві, Польща
Симптоми: Чоловік звернувся до лікарні після того, як два дні страждав від блювоти. Крім того, протягом року раніше у нього розвинулася слабкість, і він втратив 18 кілограмів, не намагаючись цього зробити.
Вам може сподобатися
-

Нудоту у жінки спричинило величезне утворення в шлунку, яке лікарі розчинили за допомогою дієтичної газованої води.
-

У жінки з'явилися незвичайні синці від масажного пістолета. Виявилося, що в неї цинга.
-

Домашній сік жінки призвів до небезпечного для життя «синдрому токсичного кабачка»
Лікарі лікували пацієнта сечогінним засобом, щоб допомогти вивести надлишок кальцію, а також внутрішньовенними рідинами, стероїдами та препаратами, що знижують рівень кальцію. Рівень кальцію в нього ненадовго знизився, і його виписали з кількома рецептами. Однак через три тижні під час подальшого спостереження лікарі виявили, що рівень кальцію в його крові знову підвищився, і його госпіталізували до нефрологічного відділення.
Чоловік загалом був стабільним, але медичний огляд показав помітні зміни в м’язах плеча та грудей, що відповідали порушенням, виявленим на сканах. Потім лікарі переглянули історію хвороби пацієнта, і він поділився важливою деталлю: приблизно 30 років тому він почав отримувати «невідомі внутрішньом’язові ін’єкції (ймовірно, що містять тестостерон)» у м’язи грудей та плечей для їх збільшення, згідно зі звітом про його випадок.
«Він наголосив, що остання доза цих ін’єкцій була отримана 2 роки тому», – зазначили автори звіту. Точна частота, з якою він історично отримував ін’єкції, невідома.
Аналізи крові показали, що рівень паратиреоїдного гормону, який контролює кальцій у чоловіка, був значно низьким, що виключає поширену гормональну причину високого рівня кальцію. У чоловіка також не було ознак прихованого раку в травному тракті, жодних відхилень при урологічному обстеженні та жодних ознак аутоімунного захворювання. Виключивши інші причини, медична бригада провела біопсію однієї з аномальних ділянок м'яза.
Діагноз: під мікроскопом м'яз був заповнений силіконополімерною речовиною на масляній основі та оточений щільними кальцієвими відкладеннями. Команда вчених дійшла висновку, що попередні ін'єкції чоловіка в м'язи, ймовірно, містили синтол, речовину, що складається переважно з олії, яка візуально «наповнює» м'язи, по суті, надуваючи їх, як водяні кульки.
У цьому випадку синтол викликав стійку реакцію на чужорідне тіло — організм, по суті, реагував на матеріал, який він не міг розщепити. З часом ця реакція призвела до рубцювання та кальцифікації, що призвело до накопичення великої кількості кальцію всередині м'яза. І зрештою цей кальцій потрапив у його кров.
Лікування: Кілька попередніх повідомлень про подібні випадки свідчили про те, що хірургічне видалення кальцифікованого м'яза буде єдиним надійним довгостроковим методом лікування постійно високого рівня кальцію у чоловіка. В одного з попередніх пацієнтів рівень кальцію повернувся до норми через три місяці після видалення тканини. Однак у випадку чоловіка автори не вказали, чи пацієнт зрештою переніс операцію, а також не описали його довгостроковий результат.
Вам може сподобатися
-

Нудоту у жінки спричинило величезне утворення в шлунку, яке лікарі розчинили за допомогою дієтичної газованої води.
-

У жінки з'явилися незвичайні синці від масажного пістолета. Виявилося, що в неї цинга.
-

Домашній сік жінки призвів до небезпечного для життя «синдрому токсичного кабачка»
Що робить цей випадок унікальним: ін'єкції синтолу зазвичай містять 85% тригліцеридів середнього ланцюга, 7,5% місцевого анестетика, такого як лідокаїн, та 7,5% спирту, нібито для стерильності. Олії діють як агент, що сприяє нарощуванню м'язів, оскільки організм нелегко їх переробляє, і наслідки цих ін'єкцій можуть тривати роками. Незважаючи на серйозні ризики, такі як деформація м'язів, хронічні рани та рубці, синтол відносно легко придбати.
ІНШІ ДИЛЕМИ
— Чоловік, який не міг помочитися, був заражений одним із найбільших відомих людських паразитів
— Після операції 17-річний підліток міг розмовляти лише іноземною мовою
— У чоловіка зламався ніж у грудях, і він не помічав цього 8 років
Автори клінічного випадку зазначили, що було зареєстровано лише два інші випадки високого рівня кальцію в крові, пов'язаного з ін'єкціями синтолу, і обидва були з Лівану. Основний механізм, що зумовлює цей ефект, залишається незрозумілим. Більш відомі ускладнення синтолу зазвичай з'являються невдовзі після ін'єкції, але у цього пацієнта наслідки, очевидно, проявилися через роки, що надзвичайно ускладнило виявлення причини.
За словами авторів, цей випадок є ще одним доказом того, що «внутрішньом’язові ін’єкції синтолу є однією з причин підвищеного рівня кальцію в сироватці крові», незважаючи на їх рідкість.
Щоб переглянути більше цікавих медичних випадків, перегляньте наш архів «Діагностичні дилеми».
Застереження
Ця стаття призначена лише для ознайомлення та не є метою надання медичних порад.
ТЕМИ Діагностична дилема

Anirban Mukhopadhyay Live Science Contributor
Анірбан Мухопадхай — незалежний науковий журналіст. Він має ступінь доктора філософії з генетики та ступінь магістра з обчислювальної біології та розробки ліків. Він регулярно пише для The Hindu та співпрацює з The Wire Science, де доступною мовою доносить до громадськості складні біомедичні дослідження. Окрім наукових робіт, він любить створювати та читати художню літературу, яка поєднує міфи, пам'ять та меланхолію в сюрреалістичних історіях, що досліджують горе, ідентичність та тиху магію самопізнання. У вільний час він любить довгі прогулянки зі своїм собакою та катання на мотоциклі Гімалаями.
Ви повинні підтвердити своє публічне ім'я, перш ніж коментувати
Будь ласка, вийдіть із системи, а потім увійдіть знову. Після цього вам буде запропоновано ввести своє ім'я для відображення.
Вийти Читати далі

Нудоту у жінки спричинило величезне утворення в шлунку, яке лікарі розчинили за допомогою дієтичної газованої води.

У жінки з'явилися незвичайні синці від масажного пістолета. Виявилося, що в неї цинга.

Домашній сік жінки призвів до небезпечного для життя «синдрому токсичного кабачка»

Жінка постійно куштувала відбілювач — і лікарі знайшли приховану причину в її крові

Молоко, що витікало з-під пахв жінки, виявило «ектопічні груди»

Сильний біль у коліні жінки виявив «золоті нитки» в її суглобах
Найновіше у сфері охорони здоров'я

Дослідження пов'язує використання GLP-1 з деякими ризиками вагітності, але дослідження має ключові застереження

Заворушення в Центрах контролю та профілактики захворювань, публікація зображення комети 3I/ATLAS від NASA та апокаліпсис комах.

Знищення «зомбі-клітин» у кровоносних судинах може бути ключем до лікування діабету, згідно з раннім дослідженням

«Якщо чесно, я не знаю, чи виживе CDC»: колишні посадовці CDC описують розпад агентства за часів РФК

Чи рівень ожиріння в Америці зупинився на стагнації?

Чи справді вільні радикали такі шкідливі для вас?
Найновіші функції

М'язи чоловіка виглядали дивно деформованими. Лікарі виявили, що з них у кров потрапляє кальцій.

Два торнадо пройшли через Міссісіпі ідеально паралельними шляхами під час смертельного “супершторму”

Історія науки: виявлено культову скам'янілість «Люсі», яка змінила наше розуміння еволюції людини — 24 листопада 1974 року

Чому стерв'ятники кружляють?

Гігантське «діамантове кільце» виблискує за 4500 світлових років у сузір'ї Лебедя — космічне фото тижня

Система Окс Бел Ха: Величезна прихована система, яка є найдовшою підводною печерою у світі
ОСТАННІ СТАТТІ

Дві зірки, що спіралеподібно прямують до катастрофи, випробовують гравітацію Ейнштейна
Live Science є частиною Future US Inc, міжнародної медіагрупи та провідного цифрового видавництва. Відвідайте наш корпоративний сайт.

Додати як пріоритетне джерело в Google
- Про нас
- Зв'яжіться з експертами Future
- Умови та положення
- Політика конфіденційності
- Політика щодо файлів cookie
- Заява про доступність
- Рекламуйтеся у нас
- Веб-сповіщення
- Кар'єра
- Редакційні стандарти
- Як запропонувати нам історію
© Future US, Inc. Повний 7-й поверх, 130 West 42nd Street, Нью-Йорк, штат Нью-Йорк, 10036.
var dfp_config = { “site_platform”: “vanilla”, “keywords”: “type-regular,serversidehawk,videoarticle,van-enable-adviser-
Sourse: www.livescience.com




